Search

19 Dec 2025

Ten years on, Paignton man whose tinnitus turned out to be a brain tumour fighting for a cure

Darren Harris marks a decade since his diagnosis, calling for donations to support life-saving studies

A man from Devon diagnosed with tinnitus that led to a shocking brain tumour discovery is supporting the Brain Tumour Research Christmas Appeal, calling on the public to fund game-changing research this festive season.

Darren Harris, 59, an IT Functional Analyst from Paignton, was diagnosed in 2015 after being referred for a routine hearing test. More than 100,000 people in the UK are estimated to be living with a brain tumour or the long-term impact of their diagnosis, yet research into the disease has been chronically underfunded.

Darren said: “I had tinnitus for a couple of years, and my doctor sent me for a hearing test. They did a few treatments that helped and did an MRI, but then I was called back for more MRIs, one after another. I knew something wasn’t right, but no one would tell me why. When I was finally referred to a neurosurgeon, my world fell apart. They told me I had a brain tumour.

“Reaching 10 years since my brain tumour diagnosis is something I never take for granted. I know how incredibly lucky I am to still be here, and that’s only because of the treatments and knowledge we have today. But too many people aren’t as fortunate, and that’s why funding into brain tumour research is absolutely vital. We need continued investment so that more people can reach milestones like this, and so families in the future have real hope, better treatments and, ultimately, a cure.”

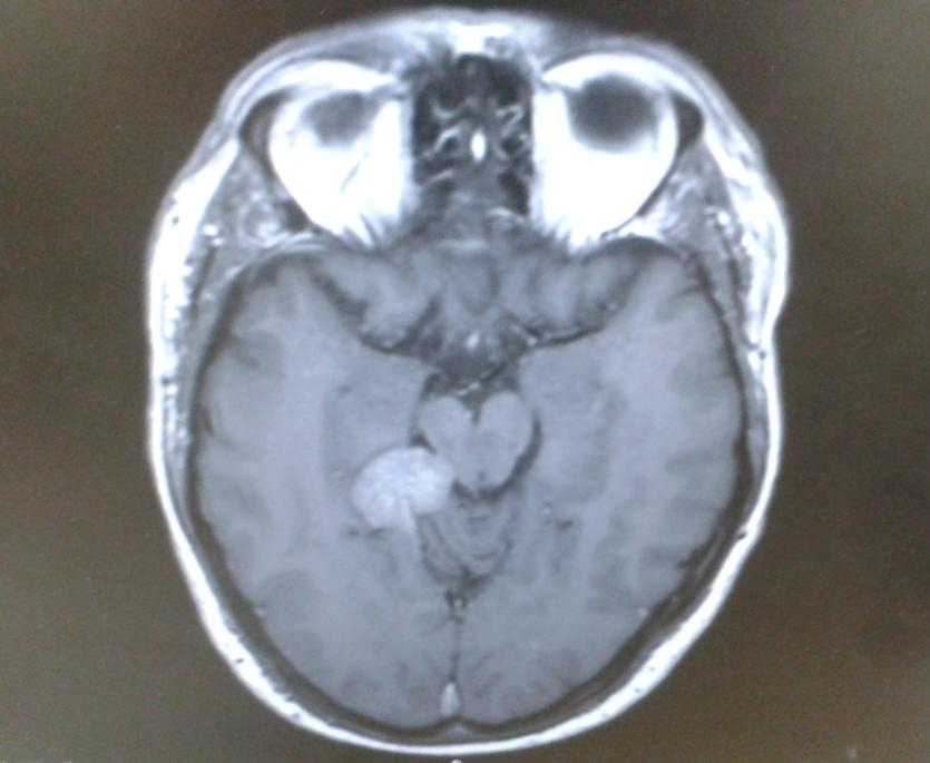
Darren was diagnosed in July 2015 with an inoperable tentorial meningioma, a slow-growing, low-grade tumour at the base of his brain. He underwent gamma knife radiosurgery at the Northern General Hospital in Sheffield, a highly targeted form of radiotherapy that uses over 300 beams of radiation to destroy tumour cells while sparing healthy tissue.

Darren said: “It was cutting-edge. They bolted a metal frame to my skull to keep me completely still, mapped the tumour in 3D, and then targeted it precisely. The treatment cost £35,000. Luckily, I had private health insurance, but many families can’t afford that. We need more research and funding so that everyone can access the best treatments.”

Although the treatment was successful, Darren’s journey didn’t end there. He developed epilepsy, lost his driving licence, and was diagnosed with atrial fibrillation, a heart condition caused by the stress of seizures. He has since undergone multiple heart procedures, including cardioversion and cryoablation, and continues to live with neurological side effects, including visual impairment and pins and needles down his left side.

Brain tumours kill more men under 70 than prostate cancer, yet just 1% of the national spend on cancer research has been allocated to brain tumours since records began in 2002.

Now retired, Darren remains determined to give back. Marking 10 years since his diagnosis, he and his wife recently hosted a fundraising event for Brain Tumour Research, raising more than £800 through an evening of meditation, spiritual messages and a tombola.

Darren said: “We wanted to do something positive. It’s been a long road, but we believe in giving back. For anyone at the start of their brain tumour journey, take one day at a time and listen to your surgeons. For those that can, please donate to the Brain Tumour Research Christmas Appeal. A donation of as little as £5 can fund vital research that will ultimately save lives and give people like me hope for the future.”

Brain Tumour Research is the only national charity focused on finding a cure for all types of brain tumours. It provides long-term funding to dedicated Brain Tumour Research Centres of Excellence, such as its Centre at the University of Plymouth, where scientists were recently awarded £2.8 million to progress work into developing better treatments for low-grade brain tumours.

Letty Greenfield, community development manager at Brain Tumour Research, said: “Darren’s courage and willingness to share his experience help raise awareness of the need for greater investment in brain tumour research and improved access to life-saving technology. We hope that Darren’s story inspires others to support our Christmas appeal.”

Brain Tumour Research funds sustainable research at dedicated centres in the UK. It also campaigns for the government and larger cancer charities to invest more in research into brain tumours in order to speed up new treatments for patients and, ultimately, to find a cure. The charity is the driving force behind the call for a national annual spend of £35 million in order to improve survival rates and patient outcomes in line with other cancers such as breast cancer and leukaemia.

To support Brain Tumour Research and donate to the Christmas appeal, visit: https://braintumourresearch.org/pages/give-hope-this-christmas

To continue reading this article,
please subscribe and support local journalism!


Subscribing will allow you access to all of our premium content and archived articles.

Subscribe

To continue reading this article for FREE,
please kindly register and/or log in.


Registration is absolutely 100% FREE and will help us personalise your experience on our sites. You can also sign up to our carefully curated newsletter(s) to keep up to date with your latest local news!

Register / Login

Buy the e-paper of the Donegal Democrat, Donegal People's Press, Donegal Post and Inish Times here for instant access to Donegal's premier news titles.

Keep up with the latest news from Donegal with our daily newsletter featuring the most important stories of the day delivered to your inbox every evening at 5pm.